La Reconstrucción de un Maxilar Atrófico Mediante Acceso Apical
Francisco
Periodoncista

Table of Contents
En los últimos años ha habido un crecimiento exponencial en el número de implantes que colocamos en nuestros pacientes.
Esto unido a la alta demanda estética de la sociedad actual hace imprescindible que no solo se deba colocar el implante en la posición tridimensional adecuada sino también un adecuado manejo de tejidos duros y blandos para obtener un resultado satisfactorio y funcional a la vez que estético a largo plazo.
Además es necesario destacar que la incidencia y prevalencia de patologías periimplantarias es cuanto menos significativa y los defectos provocados por el fracaso de los implantes son aún mayores y más complejos de resolver que los defectos que provoca la pérdida de un diente.
Por eso es vital desarrollar abordajes quirúrgicos orientados hacia el paciente ya que la tendencia actual requiere que cumplamos no solo con unos requisitos a nivel de salud y a nivel funcional sino también a nivel estético mediante procedimientos mínimamente invasivos y provocando la menor morbilidad a nuestros pacientes que muchas veces ya están siendo re-intervenidos.
Resumen
Los implantes dentales se utilizan en la actualidad de forma predecible para la sustitución de dientes perdidos o con pronóstico imposible, describiéndose en la literatura altas tasas de éxito a largo plazo. No obstante, es relativamente frecuente la aparición de complicaciones biológicas. La progresión de las patologías periimplantarias, puede dar lugar a defectos óseos y de tejido blando que requieren tratamientos innovadores.
Se presenta el caso clínico de un paciente con tres implantes con pronóstico imposible debido a la pérdida ósea y de tejido blando que tras tres fases quirúrgicas se rehabilita mediante prótesis fija dento-soportada.
Se realiza una primera intervención para explantar los implantes y mediante un abordaje apical con incisión a fondo de vestíbulo se realiza un injerto de tejido conectivo. Tras la cicatrización del tejido blando, se realiza una segunda intervención en la que se reconstruye el defecto óseo mediante un aloinjerto en forma de lámina de cortical desmineralizada fijada, mediante un acceso apical a fondo de vestíbulo.
Finalmente se realiza un tercer procedimiento para mejorar el acceso a la higiene y la calidad del tejido blando mediante un injerto de tejido conectivo y tras el manejo de tejidos blandos con provisionales se rehabilita con prótesis fija dento-soportada.
PRESENTACIÓN DEL CASO CLÍNICO:
Se presenta el caso clínico de un varón de 70 años sin antecedentes sistémicos relevantes. Su motivo de consulta son las molestias y la estética poco satisfactoria que presenta en unos implantes que le fueron colocados en el frente anterior estético hace 15 años tras haber sufrido un traumatismo.
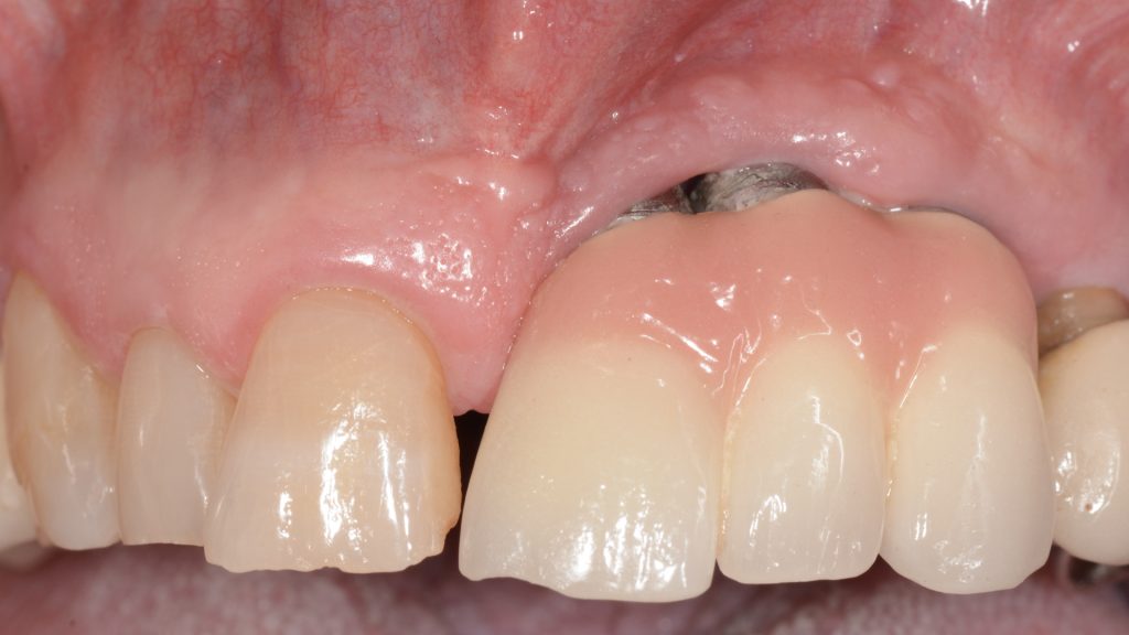
A la exploración clínica presenta implantes en posición de 21, 22 y 23 con una prótesis ceramo-metálica cementada con encía rosa donde se pueden apreciar las superficies de los implantes expuestas al medio oral (Figura 1).

A la exploración radiográfica se observa la pérdida ósea interproximal de los 3 implantes confirmándose así el diagnóstico de periimplantitis (Figura 2).

Además el diseño protésico y la proximidad entre los tres implantes imposibilita la consecución de una correcta higiene. Se le explican al paciente las diferentes opciones terapéuticasy la predictibilidad de cada una de ellas. El plan de tratamiento final incluye rehabilitar de 13 a 24 mediante prótesis fija dento-soportada.
No obstante se consensua con el paciente de la necesidad de un adecuado manejo de tejidos duros y blandos para que una vez explantados los implantes no se colapse la zona y así lograr un resultado estético satisfactorio. Para ello se llevaron a cabo las siguientes intervenciones quirúrgicas y al final de las tres fases tienes el video con las tres fases quirúrgicas:
Primera intervención quirúrgica
- Se realizó una primera intervención quirúrgica en la que de inicio se realizó la retirada de la prótesis cementada y la explantación de los implantes en posición de 21, 22 y 23 y se realizó un injerto de tejido conectivo para sellar los lechos de los 3 implantes recién explantados (Figura 3).

Para no dañar en exceso la zona más crítica, que es la crestal y para conseguir desbridar los defectos periimplantarios y eliminar de forma correcta todo el tejido de granulación se realiza un acceso apical con una incisión a fondo de vestíbulo, tras la eliminación del tejido de granulación se obtiene un injerto de tejido conectivo y se introduce a través de este mismo acceso posicionándolo en la zona crestal para obtener un sellado alveolar compensatorio en la zona de la explantación de los 3 implantes (Figura 4).

Se sutura la incisión realizada a fondo de vestíbulo para obtener un cierre primario mediante sutura reabsorbible y con el uso coadyuvante de un electro-bisturí para minimizar la hemorragia.
Se coloca la prótesis fija provisional dento-soportada desde 13 a 24, sobre los muñones en 13,12,11 y 24 que se habían preparado de forma previa a la intervención y se realizan unos últimos puntos de sutura anclados a la prótesis provisional para traccionar coronalmente. La zona de pónticos de 21, 22 y 23 se liberó para que no contactase con la zona intervenida considerando la inflamación posterior inherente al procedimiento quirúrgico (Figura 5).

Se administró terapia antibiótica de amoxicilina durante una semana y el uso coadyuvante de un antiséptico durante dos semanas (Clorhexidina 0.12% / 2 veces al día).
La sutura se retiró a las dos semanas constatando la correcta cicatrización y la ausencia de complicaciones. Se efectúan revisiones mensuales para hacer un seguimiento de la evolución hasta los 3 meses que se realiza la segunda intervención (Figuras 6-9).
La segunda intervención

Situación clínica a los dos meses de cica1rizaci6n. 
Situación clínica previa al segundo procedimIento quirúrgico. Vista vestibular. 
Situación clínica previa al segundo procedimiento quirúrgico. Vista oclusal. 
Radiografía 3D donde se puede apreciar la atrofia ósea.
- La segunda intervención consta de un nuevo acceso apical para obtener un correcto acceso a la zona. Se utiliza un aloinjerto en forma de lámina de cortical desmineralizada (Cortiflex DIZG Germany) que debido a su configuración y consistencia se puede fijar con microtornillos e incluso suturar. El objetivo de la utilización de esta lamina es reconstruir el proceso alveolar del tramo de 21 a 23 y dotar de volumen tridimensional suficiente toda la zona colapsada tanto a nivel de tejidos duros como blandos. Una vez fijada la lamina se sutura la incisión con el fin de obtener un cierre primario y sin tensión (Figura 10).

Esta segunda intervención también va acompañada de terapia antibiótica de amoxicilina durante una semana y el uso coadyuvante de un antiséptico durante dos semanas (Clorhexidina 0.12% / 2 veces al día).
A las 2 semanas se retiran las suturas y a pesar de que se observa una ligera dehiscencia de la herida en la zona de la sutura, no supuso ninguna complicación mayor en los meses posteriores.
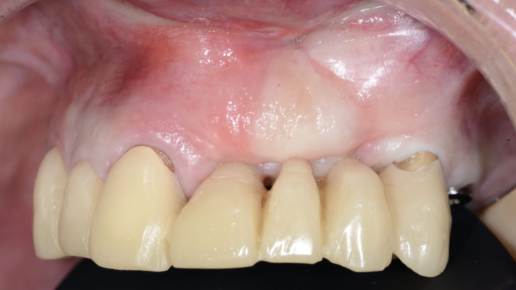
Una vez superada la fase temprana de cicatrización se añade resina progresivamente en la zona cervical de las piezas pónticas con el fin de crear un correcto perfil de emergencia e ir modificando esa zona para a posterior realizar una prótesis definitiva adaptada a ese perfil (Figuras 11 y 12).

Situación clínica previa al tercer procedimiento quirúrgico. Vista vestibular. 
Situación clínica previa al tercer procedimiento quirúrgico. Vista oclusal.
Transcurridos 3 meses tras la segunda intervención se realiza un tercer procedimiento con el objetivo de distribuir homogéneamente el volumen y el tejido en el área tratada.
Tercer procedimiento
Finalmente se realiza un tercer procedimiento en el que se realizó un lecho reposicionado apicalmente a espesor parcial y un injerto de tejido conectivo para proporcionar una profundidad de vestíbulo adecuada, distribuir de forma homogénea la cantidad de mucosa queratinizada mejorando el acceso a la higiene y mejorar la calidad del tejido blando para obtener un resultado estético.
Para ello se realiza un colgajo a espesor parcial, se obtiene un nuevo injerto de tejido conectivo de la misma zona palatina y se sutura sobre el lecho.
Este injerto consta de tejido conectivo pero también posee 2mm de epitelio en su parte más coronal con la intención de suturar el colgajo realizado previamente sobre el injerto, dejando expuestos esos 2mm de epitelio en la zona crestal para conseguir un grosor adecuado en la zona crestal y además un resultado estético final más satisfactorio (Figura 13).

Este tercer procedimiento también va acompañado de terapia analgésica durante tres días (Enantyum 25mg) y el uso coadyuvante de un antiséptico durante dos semanas (Clorhexidina 0.12% / 2 veces al día).
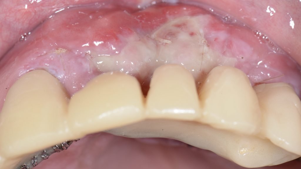
A las 2 semanas se retiran las suturas y se observa una capa de fibrina sobre la que se aplicó un gel de clorhexidina durante 2 semanas más sin mayor inconveniente (Figura 14).

Durante los dos próximos meses se prosiguió con la modificación de los pónticos hasta conseguir el perfil de emergencia deseado (Figura 15).

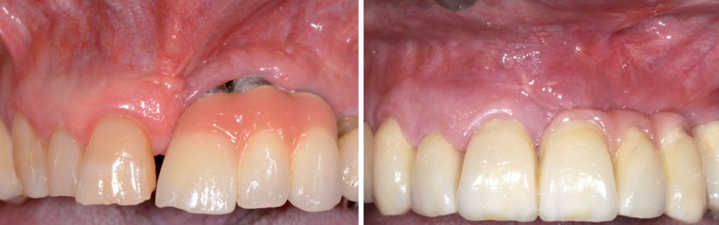
Trascurrido el periodo de cicatrización, se realizaron las pruebas protésicas pertinentes y se colocó la prótesis definitiva (Figura 16).

Después de 12 meses de seguimiento se puede constatar el mantenimiento del resultado obtenido de forma satisfactoria tanto a nivel clínico, sin complicaciones biológicas ni mecánicas, como por parte del paciente (Figura 17).

No te pierdas el video de la cirugía con las tres fases del tratamiento:
DISCUSIÓN:
Mediante el presente caso clínico se propone la utilización de este abordaje quirúrgico de acceso apical con incisión a fondo de vestíbulo como técnica quirúrgica con una adecuada visibilidad y menores complicaciones postquirúrgicas para la reconstrucción de defectos óseos maxilares.
La literatura científica ha descrito la utilización de abordajes tunelizados para la reconstrucción de maxilares atróficos tanto en sentido vertical como horizontal a fin de evitar colgajos más amplios, reducir las complicaciones post-operatorias y la morbilidad post-quirúrgica. Varios trabajos recientes proponen abordajes tunelizados para la realización de regeneración ósea vertical con resultados altamente satisfactorios en ganancia ósea y reduciendo la tasa de complicaciones que clásicamente se han asociado a este tipo de procedimientos reconstructivos previos a la colocación de implantes (PA K. 2004, De Stavola 2013).
El abordaje descrito mediante el caso clínico recién expuesto no ha sido descrito hasta la fecha con fines de regeneración ósea guiada (En realidad Carlo Tinti describió el colgajo en ala de gaviota para usar Goretex) Se debería citar aunque el abordaje es diferente. No obstante, sí que ha sido descrito previamente para cirugía mucogingival (Bethaz N. 2013), regeneración periodontal (Moreno Rodriguez2018, 2019) e incluso reconstrucción de papila (Dino Calzavara 2016).
Ofrece una serie de ventajas con respecto a un abordaje crestal tradicional. En primer lugar, alejando la incisión de la zona crítica se consigue reducir el trauma sobre los tejidos blandos que tan importantes serán en la cicatrización de este tipo de procedimientos.
Además, en caso de presencia de complicaciones o dehiscencia de la herida, dicha dehiscencia se ubicará a la distancia suficiente reduciendo los riesgos y presumiblemente la tasa fracaso de procedimientos regenerativos de esta índole descritas en revisiones sistemáticas (Rocchietta 2008, Urban 2019).
En relación al origen del injerto óseo las diferentes revisiones sistemáticas respaldan el uso del injerto autólogo como el gold standard (Thoma 2011).
Estudios a largo plazo reportan buenos resultados por tener dos áreas quirúrgicas, incrementar el riesgo de complicaciones en la zona donante y ser una técnica muy sensible pero tienen la desventaja de tener una alta morbilidad por tener dos áreas quirúrgicas y ser una técnica muy sensibles a las manos del operador (Chiapasco 2020).
A fin de reducir la morbilidad post-operatoria, evitar áreas quirúrgicas donantes y reducir el tiempo de intervención se han investigado injertos de diferentes orígenes. La literatura reciente ofrece como alternativas válidas la utilización de injertos de origen xenogénico (Ortiz-Vigón 2018, Benic 2019) y alogénico (F GFT 2019) tanto en ganancia ósea como en tasas de supervivencia y éxito de los implantes.
Si bien es cierto que en el presente caso clínico no se iban a colocar nuevos implantes, existen revisiones sistemáticas que describen una ganancia ósea significativa y una mínima reabsorción o contracción volumétrica mediante la utilización de aloinjertos (Monje A. 2014). Esa mínima contracción volumétrica era uno de los aspectos importantes en el presente caso clínico teniendo como intención el mantenimiento del resultado a largo plazo.
En este tipo situaciones clínicas, no solo es importante el manejo de tejidos duros, sino que es imprescindible para el éxito del tratamiento el correcto manejo de tejidos blandos.
Llegados a este punto es necesario destacar que en función del área del paladar seleccionada (paladar anterior, paladar posterior, tuberosidad) las características histológicas del injerto van a ser diferentes y se pueden utilizar con fines terapéuticos diferentes (Zuhr 2014).
Dos ensayos clínicos aleatorizados recientes del mismo grupo de investigación (Rojo 2018, Sanz-Martin 2019) describen como los injertos de origen tuberositario tienen una mayor cantidad de lamina propia y menos submucosa y por tanto estarían más indicados para aumento de volumen.
En el presente caso clínico no era necesario aumentar el volumen y además existen estudios que describen un peor resultado estético con injertos de origen tuberositario y por ello se optó por un injerto del paladar en el último procedimiento (Dellavia 2014).
CONCLUSIONES:
- El presente caso clínico propone el abordaje quirúrgico mediante acceso apical con incisión a fondo de vestíbulo para el tratamiento reconstructivo de maxilares atróficos.
- Los aloinjertos para la reconstrucción de defectos óseos son una alternativa al injerto óseo de origen autólogo con el objetivo de reducir las posibles complicaciones y la morbilidad intra- y post-operatoria
- Un adecuado manejo de tejidos blandos y del perfil de emergencia de los provisionales es esencial para lograr un resultado satisfactorio.
Si deseas aprender estas técnicas y más con el grupo Periocentrum, apúntate al Master de Implantología y Periodoncia

Próxima edición en abril de 2021. Puedes realizar tu inscripción prioritaria aquí. Online · A tu ritmo en 16/24 meses · Clases de 15 min · Acreditación Universitaria.
No te pierdas los mejores docentes de la actualidad en implantología y periodoncia. Mira este video:
Comments
0 totalLoading comments...
Anterior
¿Es la Conexión un Elemento Protético?
Siguiente
Socket Shield arruinó a los hombres. Pocos entienden esto.




