Socket Shield arruinó a los hombres. Pocos entienden esto.

Table of Contents
Ahora te tengo leyendo el artículo y te preguntas por qué estoy dejando caer una declaración tan fuerte sin siquiera mencionar una referencia científica.
Deberíamos empezar a recordar ese artículo de Maurice Salama de 2007 que presenta la palabra concepto RST.
Recuerdo el día que asistí a su conferencia en España, presentando un concepto tan disruptivo, y recuerdo no tener el pelo blanco. Además, no tener ni idea de implantología. Aún no lo hago, pero ese no es el punto.
"¿Este tipo está dejando raíces debajo de las restauraciones fijas? Está loco. No se debería permitir que los estadounidenses den conferencias en Europa."
Esta fue una de las muchas cosas que me vinieron a la cabeza mientras escuchaba un concepto tan alucinante.
Pero luego, después del congreso, con una cerveza en la mano, las cosas empezaron a volverse menos borrosas.
Empecé a pensar que "tal vez este "loco americano" que nos mostró casos extraordinarios y que además puede predecir la altura de la papila en diferentes situaciones clínicas" tenía razón en algo.


Una breve explicación
La razón fundamental fue clara: Si se mantiene el diente o la raíz, también se mantiene el ligamento periodontal, y todos los eventos que ocurren después de una extracción no tienen por qué suceder (Cardaropoli 2003, Araujo & Lindhe 2005).
Todos ustedes ya saben cómo va después de una extracción y la controversia en torno a los implantes inmediatos considerando la dinámica ósea que se produce después de una extracción.
Si no, puedes consultar este artículo sobre implantes inmediatos que profundiza en el tema.
Sin embargo, hay que recordar aquel famoso artículo de Araujo & Lindhe en 2006 que concluyó así:
"La colocación del implante no logró preservar la dimensión del tejido duro de la cresta después de la extracción del diente. Las paredes óseas vestibular y lingual se reabsorbieron. En la cara vestibular, esto resultó en una cierta pérdida marginal de osteointegración."
Después de leer ese artículo, pocos se aventuraron a seguir haciendo implantes inmediatos o al menos a reconocerlo.
Casi todos, excepto un reducto gallego que en 2008 tuvo agallas para ir contra el Status Quo y publicar un artículo demostrando que al final los implantes inmediatos no son tan malos "si lo haces sin colgajo y si utilizas implantes estrechos" (Blanco 2008).
El tema de los implantes inmediatos llegó a tal punto que separó a las familias e inclusointermediando matrimonios de diez años entre periodoncistas e implantólogos.
Las cosas ya estaban demasiado complicadas y, además, alguien en Francia decidió publicar un artículo analizando el resultado de la colocación de implantes en contacto con raíces anquilosadas (Davarpanah 2009).
Me imagino cómo pasó la cosa:
"Oh bueno, mi agenda de hoy apesta. 10 extracciones seguidas de raíces anquilosadas. Me da pereza gastar mi energía en esto. Voy a colocar los implantes, y si la raíz sale bien, si no, publicaré esto."
Bueno, no salió tan mal como se esperaba. También se concluyó que "Esta serie de casos sugiere que los implantes colocados en contacto con fragmentos radiculares anquilosados podrían no interferir con la integración del implante ni dañar la función oclusal, al menos a medio plazo".
Significado: "Si te da pereza extraer el diente anquilosado y colocar un implante inmediato, tenemos una solución para ti".
¡Esa fue una gran noticia!
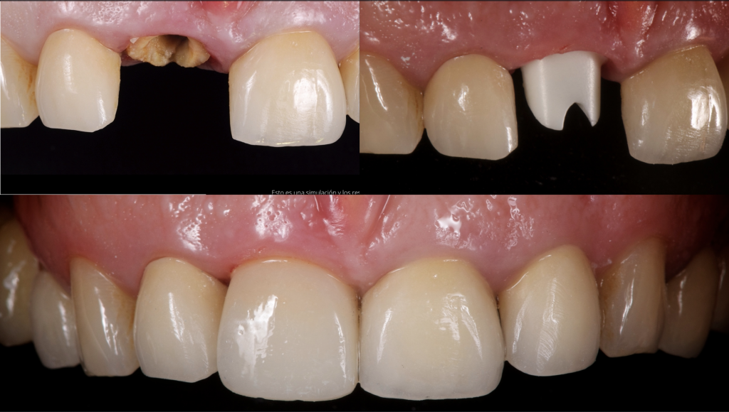
Pero fue en 2010 cuando esta tendencia empezó a tomar fuerza con la publicación de Huerzeler. Fue la primera vez que la técnica de dejar un fragmento de raíz durante un procedimiento de implante inmediato finalmente se denominó "Técnica del escudo del encaje".

Ese fue el comienzo de algo. No sólo una técnica quirúrgica o un concepto clínico. Fue el comienzo de un movimiento y casi de una religión.
Arruinó la vida de los hombres. Y si no me creen, miren el siguiente cuadro que demuestra una correlación directa entre Socket-Shield y el aumento de la virginidad masculina joven.

Hoy en día, tenemos la legión PET (Técnica de Extracción Parcial) en casi todas las plataformas. Puedes unirte a ellos en Facebook y ver los increíbles casos de Howie Gluckman, Darcio Fonseca, Jorge Campos, Maurice Salama y otros médicos de primer nivel.
Algunos de ellos son casos bastante extremos e incluso difíciles de justificar desde una perspectiva clínica y científica. Por no hablar de las PROMS. Este tema merece otro artículo aparte.
Hoy en día ya contamos con más datos científicos relacionados con el Socket Shield e incluso alguna revisión sistemática reciente que considera que la técnica"puede usarse en el tratamiento con implantes dentales, pero sigue siendo difícil predecir el éxito a largo plazo de esta técnica hasta que se disponga de evidencia de alta calidad". (Ogawa 2021).
Mi experiencia
Empecé a hacer casos de Socket Shield en 2012, tan pronto como leí el artículo de Hurzeler.
Afortunadamente, cuando comencé a leer sobre Socket Shield, ya tuve la oportunidad de practicar Agresivo.Abrazos.
Todo lo contenido en ese artículo resonó en mí y comencé a conectar los puntos de las diversas publicaciones disponibles en ese momento (Salama 2007, Davarpanah 2009).
En mis primeros casos, seguí el protocolo original, usando Emdogain® (Straumann) e intentando ser tan preciso en la preparación del escudo como se describe en el artículo.
Agregué algo de flujo de trabajo digital y comencé a hacer todos los casos con restauraciones inmediatas después de las impresiones digitales con Trios 2 (3Shape).
Después de cuatro meses, repetí la impresión digital para registrar el perfil de emergencia y diseñar la restauración definitiva.
Puedes ver uno de mis primeros casos de protección de enchufe en este vídeo:
Inicialmente los resultados fueron excelentes y también comenzamos a utilizar los archivos .stl resultantes de las impresiones digitales del día 0 (cirugía).

Después de cuatro meses (restauración definitiva), pudimos superponer los dos archivos .stl y medir la diferencia en el volumen vestibulolingual, el margen gingival y la variación general del volumen periimplantario.
Comparando la técnica convencional de implante inmediato, pudimos observar que el margen gingival se mantuvo casi similar a la situación antes de la extracción.

Incluso tuve el placer de enviar el resumen y presentarlo durante Europerio 2015 en Londres.

Complicaciones
Las complicaciones son la peor parte, y solo unas pocas charlas sobre esto.
Tuve complicaciones y principalmente después de realizar más de 30 casos.
Fueron principalmente fracasos tempranos y había un patrón en todos los casos fallidos:
- En todos ellos el par de inserción superó los 50 N·Cm.
- En todos los casos fallidos, el implante estuvo en contacto con el fragmento.
- El fragmento o el escudo no se preparó correctamente.
La tercera razón, con respecto a la preparación del Escudo, la vinculé con el efecto Dunning-Kruger.

En algún momento observas que todos los casos están siendo un éxito y empiezas a no ser tan exigente durante el Escudo.preparación.

Recuerde siempre que, al igual que otras técnicas como la regeneración ósea guiada o el injerto de tejido blando, Socket Shield es una técnica muy sensible (Fonseca 2018).
Hay cosas que no tienen ningún sentido, como este caso compartido por Carlos Polis en Stranger Implant Facebook Group.
Un chico virgen que hace todo lo posible para preservar el hueso del tercer molar.

Conclusiones
La técnica Socket-shield y otras técnicas PET parecen haber llegado para quedarse. Necesitan esa evidencia de alto nivel que respalde y respalde plenamente la técnica para su realización en la práctica clínica habitual (Baumer 2017).
Mientras tanto, puedes disfrutar de los casos y las discusiones que puedes encontrar en el grupo PET, y si te sientes lo suficientemente seguro, empieza a hacer tu primer caso y considerando siempre las indicaciones de la técnica:
- Toma tipo I (Elián 2007)
- Diente periodontalmente sano.
- Margen gingival estable similar al diente vecino
- Ausencia de infección aguda
- Raíces contaminadas
- El primer caso debería ser tu suegra.
Además, tenga en cuenta que puede comenzar a realizar casos de Socket Shield y, con suerte, no interferirá con su virginidad. (Descarga Tinder aquí)
Mantén la fe si el gran día aún está por llegar. Mientras tanto, sigue deslizándote hacia la derecha en Tinder.
Responde el cuestionario sobre Socket Shield y comprueba cuánto has aprendido
Cuestionario de PerioSpot
Pon a prueba tus conocimientos
Este cuestionario ahora funciona dentro de PerioSpot. Tu resultado se guarda en tu perfil después de iniciar sesión.
Abrir cuestionarioLibro recomendado: la terapia de extracción parcial en implantología (2020)

Paquete de contenido recomendado: Paquetes de parlantes: The Socket Shield Package

En este paquete ustedencontrará contenido y recursos útiles relacionados con la técnica Socket Shield:
Presentación de diapositivas en formato PowerPoint y keynote: Presentación de escudo de zócalo
Animaciones: Dinámica ósea después de la extracción Artículo de Ericsson 1995 con pérdida ósea marginal alrededor de un implante Proceso de osteointegración Animación del escudo del alvéolo.
Ilustraciones en formato .png y .ai.: Implante inmediato con injerto de tejido conectivo Artículo de Salama 1997 con altura esperada de papila Escudo alveolar Técnica de Stimmelmayer Preservación del alvéolo
Comments
0 totalLoading comments...
Anterior
La Reconstrucción de un Maxilar Atrófico Mediante Acceso Apical
Siguiente
¿Qué tan profundo debe ir tu implante? Posiciones supracrestal, crestal y subcrestal revisadas.
Artículos relacionados

Cómo Crear Videos con IA y Ganar 13.000 Seguidores en Instagram en 2 Semanas (Con los Prompts Exactos)
7 min read![Bundle Bone: La guia completa para el manejo del gap y los implantes inmediatos [Actualizacion 2026]](/_next/image?url=https%3A%2F%2Fajueupqlrodkhfgkegnx.supabase.co%2Fstorage%2Fv1%2Fobject%2Fpublic%2Fimages%2Fposts%2Fbundle-bone-guia-completa-manejo-del-gap-y-implantes-inmediatos-2025-es%2Fregenerated-1768921768272.jpeg&w=828&q=75)
Bundle Bone: La guia completa para el manejo del gap y los implantes inmediatos [Actualizacion 2026]
33 min read
