Quanto tempo devo esperar após preservar o rebordo alveolar? Guia de prazos

Table of Contents
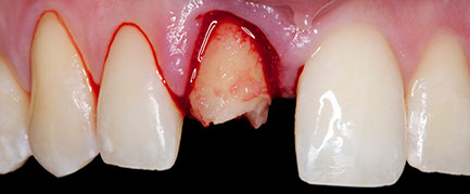
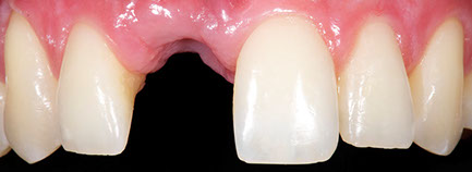
Todos sabemos que após uma extração ocorre reabsorção inevitável do rebordo (não vou citar toda a bibliografia, de Amler a Araujo & Lindhe), e entre todas as opções terapêuticas após a extração, a abordagem mais confiável em casos com alta exigência estética é realizar a preservação do rebordo alveolar e então colocar o implante.
Vídeo 1 — Animação mostrando a remodelação óssea após uma extração.
Mas isso é a parte fácil. A pergunta principal sempre é: quando devo colocar o implante? E, mais importante ainda, como explicar ao paciente quanto tempo ele terá que esperar para voltar a sair do consultório com um sorriso bonito?
Procuro simplificar, por isso criei esta infografia com informações baseadas na mais recente revisão sistemática e metanálise (De Risi 2013). Talvez alguns não gostem de tratar o tema de forma tão simples, mas do ponto de vista clínico funciona para mim e a linha do tempo fica cristalina quando explico o plano de tratamento ao paciente.









Livro recomendado
Comments
0 totalLoading comments...
Anterior
Como construir um portfólio odontológico que realmente abre portas: guia de quem os avalia
Seguinte
4 técnicas de coleta de tecido conjuntivo para sua prática diária
Artigos relacionados
![Bundle Bone: O guia completo para a gestão do gap e dos implantes imediatos [Atualização 2025]](/_next/image?url=https%3A%2F%2Fajueupqlrodkhfgkegnx.supabase.co%2Fstorage%2Fv1%2Fobject%2Fpublic%2Fimages%2Fposts%2Fbundle-bone-guia-completo-gestao-do-gap-e-implantes-imediatos-2025-pt%2Fregenerated-1768923663261.jpeg&w=828&q=75)
Bundle Bone: O guia completo para a gestão do gap e dos implantes imediatos [Atualização 2025]
23 min read
Conceitos de Zero Perda Óssea pelo Prof. Tomas Linkevičius: Um Caminho para a Estabilidade Óssea Crestal
5 min read

