Técnica de Socket Shield. Informe de un caso.
Darcio Fonseca
Periodoncista

Table of Contents
Los cambios dimensionales de la cresta alveolar después de la extracción del diente continúan siendo una carga para el tratamiento restaurador con implantes.
Muchos estudios clínicos han verificado que la parte bucal del contorno de la cresta está más comprometida que la parte lingual debido a la destrucción del paquete óseo complejo del ligamento periodontal (Glocker 2014, Wadhwani P 2015, Gluckman H, Baumer 2013, Hurzeler 2010, Chen 2004).
Especialmente en la zona estética, las sucesivas deficiencias de tejido blando y duro pueden interferir con la posición tridimensional óptima del implante orientada a la restauración y obstaculizar el resultado estético general (Chen 2004).
Técnicas convencionales para evitar la pérdida de volumen tras la extracción
Para superar las consecuencias negativas de la extracción dental, se han propuesto diferentes técnicas, como técnicas atraumáticas para preservación del encaje, colocación inmediata de implantes, sobreconstrucción bucal con materiales de injerto óseo y barrera de colágeno, para conservar el original. dimensión de la cresta.
Sin embargo, estas técnicas solo podían compensar parcialmente pero no evitar el proceso de reabsorción y, por lo tanto, era deseable una solución mejor.
En un intento por superar este desafío, Hürzeler et al, 2010 propusieron la técnica del socket-shield, basada en la técnica de inmersión de la raíz (RST) (Salama 2007), en la que se retuvo un fragmento parcial de la raíz bucal simultáneamente a la colocación inmediata del implante.
El efecto deseado era mantener el periodonto sano, manteniendo así los tejidos gingivales y manteniendo el hueso crestal en su nivel original.
La técnica socket-shield ha demostrado resultados histológicos y clínicos que contribuyen a la estética del tratamiento con implantes. En estudios histológicos, se ha informado de su capacidad para evitar la remodelación ósea en la cara vestibular de la raíz y la preservación de la placa ósea bucal y los tejidos bucales/faciales circundantes, y parece no interferir con la osteointegración del implante.(Huerzeler 2010, Baümer 2013).

Este caso clínico ilustra un concepto modificado de la técnica socket-shield en la zona estética para obtener un resultado predecible en la terapia con implantes.
El autor propuso un enfoque que consistía en la retención del fragmento de la raíz vestibular de un diente extraído (#23) en combinación con la colocación inmediata del implante para mantener la arquitectura gingival circundante.
[Tweet "La técnica socket-shield ha demostrado resultados histológicos y clínicos que contribuyen al tratamiento estético con implantes"]
Caso clínico
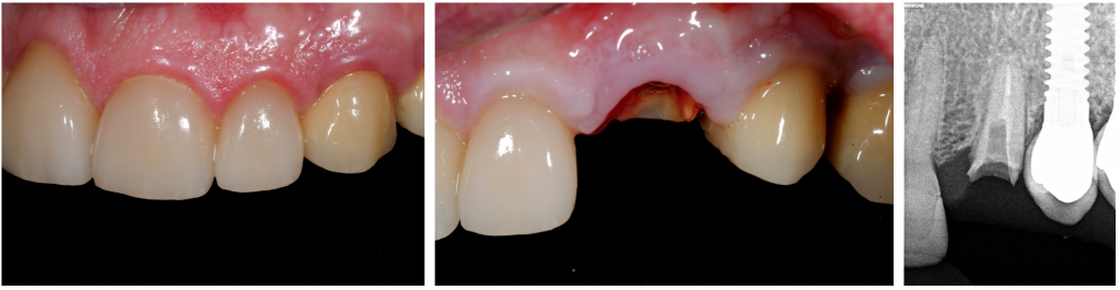
Paciente masculino de 65 años, con rehabilitación fija en el #23 y rehabilitación implantosoportada en los dientes 24 y 25, presentó fractura complicada en el canino izquierdo (#23).

Una extracción conservadora del diente n.º 23 con la posterior reabsorción prevista de los tejidos bucales habría significado un cambio estético de gran alcance. Por tanto, el plan de tratamiento implicaba la colocación inmediata del implante en el sentido delsocket-shield técnica y colocación de implante sin colgajo en el sitio del diente n.º 23 para mantener la arquitectura gingival inicial.
La extracción conservadora del fragmento de la raíz palatina se realizó con unas pinzas especiales, y el alvéolo se desbridó suavemente y se irrigó con solución salina normal.

Se realizó la preparación del lecho del implante en la pared palatina del alvéolo y se colocó un implante en forma de raíz (Klockner ®KL (4,2x12 mm)) según las recomendaciones del fabricante sin contacto con el escudo.
La posición apicocoronal de la plataforma del implante era 1 mm apical a la encía marginal palatina. Se dejó el espacio entre el escudo y la superficie del implante para permitir la formación de coágulos de sangre.

El torque final fue de 50nm, y se optó por hacer carga inmediata no funcional mediante la ferulización del provisional al implante de los dientes 24.

Restauración final
Ocho meses después, se sustituyó la corona provisional por una corona tradicional de circonio, mostrando una sorprendente arquitectura gingival, que se consideró inmutable después de una 6th, 18th, y 24th período de seguimiento del mes.

Discusión
En este informe de caso, se demostró que la técnica Socket Shielde con la colocación inmediata del implante, según lo informado por HÜrzeller 2010, preserva la placa cortical bucal y se pueden observar tejidos periimplantarios sanos, demostrando ser una de las estrategias de preservación de crestas más conservadoras para los contadores óseos y la preservación de la arquitectura gingival, y pensada para obtener una apariencia más estética. resultado final.
Sin embargo, cabe señalar que para su correcta realización, los médicos deben estar familiarizados con esta técnica, ya que realizarla correctamente en los primeros intentos es difícil.

Más sobre la técnica del Socket Shield en este Ibook:

Darcio Fonseca
Contributing AuthorExpert in periodontics and implantology with extensive clinical experience.
Comments
0 totalLoading comments...


